Răng khôn là chiếc răng mọc cuối cùng trên cung hàm, thường xuất hiện ở độ tuổi từ 17 đến 25. Tuy nhiên, do không còn đủ chỗ trên cung hàm nên răng khôn mọc nghiêng dễ xảy ra, gây nhiều biến chứng nguy hiểm. Trong đó, tình trạng này khá phổ biến và nhiều người thắc mắc: Khi nào thì cần nhổ răng khôn mọc nghiêng ngay để tránh ảnh hưởng đến sức khỏe răng miệng?
Răng khôn mọc nghiêng là gì?
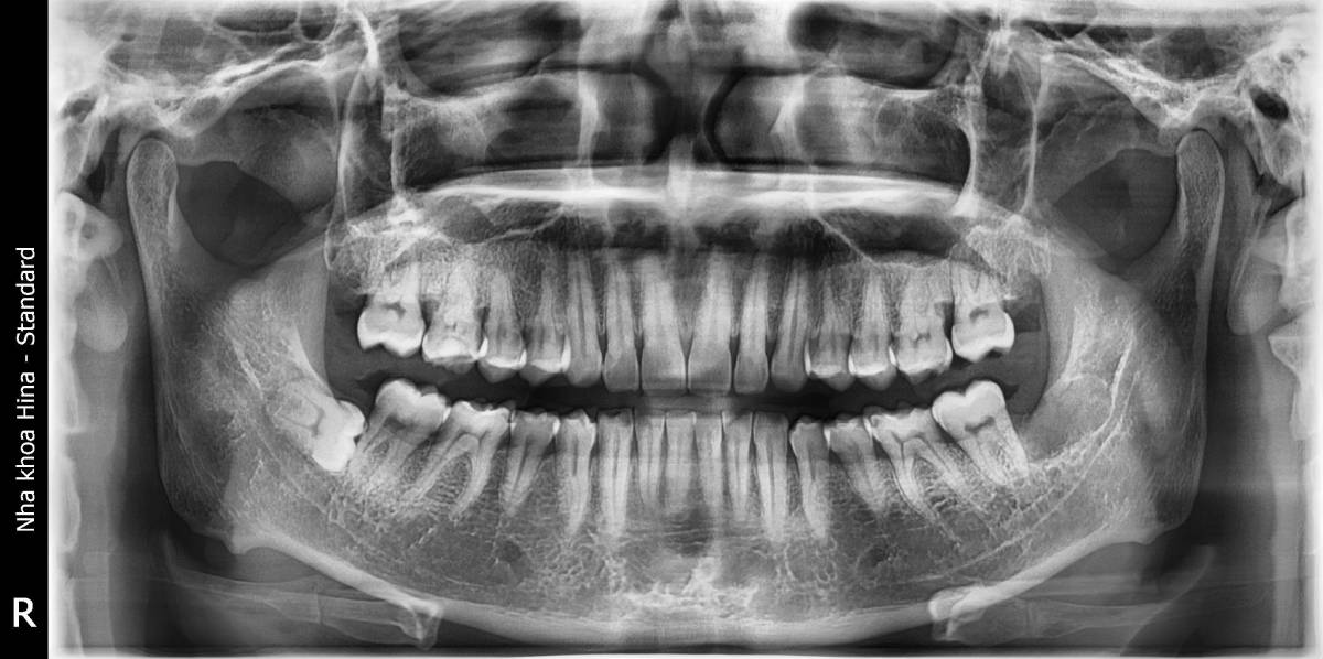
Răng khôn mọc nghiêng là tình trạng chiếc răng số 8 không mọc thẳng đứng như bình thường mà mọc chếch về phía răng số 7 hoặc ra ngoài má, vào trong lưỡi. Do bị cản trở bởi các răng khác hoặc xương hàm, răng khôn không có đủ không gian để mọc thẳng.
Tình trạng này không chỉ gây đau nhức, khó chịu mà còn tiềm ẩn nhiều nguy cơ ảnh hưởng đến sức khỏe răng miệng nếu không xử lý kịp thời.

Dấu hiệu nhận biết răng khôn mọc nghiêng
Một số triệu chứng thường gặp khi răng khôn mọc lệch hoặc mọc nghiêng:
-
Đau nhức, ê buốt vùng lợi phía sau.
-
Sưng đỏ nướu quanh răng khôn.
-
Hôi miệng, khó mở miệng.
-
Dễ bị kẹt thức ăn, gây sâu răng bên cạnh.
-
Đau lan lên tai, thái dương hoặc xuống hàm.
Nếu có những dấu hiệu trên, bạn nên đi khám nha sĩ sớm để được chẩn đoán chính xác.
Biến chứng nguy hiểm của răng khôn mọc nghiêng
Nếu không được xử lý kịp thời, răng khôn mọc nghiêng có thể gây ra nhiều biến chứng:
1. Gây sâu răng số 7
Khi răng khôn mọc nghiêng, khe kẽ giữa răng số 7 và số 8 trở thành nơi tích tụ thức ăn, khó vệ sinh, dẫn đến sâu răng.
2. Viêm lợi trùm
Răng khôn mọc nghiêng thường bị lợi che phủ một phần, dễ gây viêm lợi trùm với biểu hiện sưng đau, chảy mủ, sốt.
3. Tiêu xương hàm
Áp lực từ răng khôn mọc lệch có thể làm tiêu xương quanh chân răng, gây lung lay răng số 7.
4. Ảnh hưởng khớp cắn
Răng khôn mọc lệch làm sai lệch khớp cắn, gây khó khăn trong ăn nhai và ảnh hưởng thẩm mỹ khuôn mặt.
5. Nguy cơ hình thành nang, u
Trong một số trường hợp, răng khôn mọc ngầm hoặc mọc nghiêng có thể hình thành nang răng, thậm chí phát triển thành u nang xương hàm.

Khi nào cần nhổ răng khôn mọc nghiêng ngay?
Không phải tất cả các trường hợp răng khôn mọc nghiêng đều phải nhổ, nhưng bạn cần nhổ răng khôn ngay nếu gặp các tình huống sau:
-
Răng khôn gây đau nhức dữ dội, tái phát nhiều lần.
-
Xuất hiện biến chứng viêm lợi trùm, nhiễm trùng, sưng mặt.
-
Gây sâu răng số 7 hoặc ảnh hưởng đến các răng bên cạnh.
-
Có nguy cơ hình thành nang răng, ảnh hưởng xương hàm.
-
Bác sĩ chỉ định cần nhổ răng khôn mọc lệch để tránh biến chứng nguy hiểm.
Trường hợp có thể theo dõi
Nếu răng khôn mọc nghiêng nhưng không gây đau, không ảnh hưởng đến răng khác và dễ vệ sinh thì bác sĩ có thể chỉ định theo dõi định kỳ. Tuy nhiên, bạn vẫn nên chụp X-quang 6 tháng/lần để kiểm soát tình trạng.
Quy trình nhổ răng khôn mọc nghiêng tại Nha khoa Hina
Tại Nha khoa Hina, quy trình nhổ răng khôn mọc nghiêng được thực hiện an toàn theo các bước:
-
Thăm khám và chụp X-quang để xác định vị trí, thế mọc răng.
-
Vệ sinh khoang miệng, gây tê vùng nhổ răng.
-
Tiến hành nhổ răng khôn bằng kỹ thuật hiện đại, hạn chế xâm lấn.
-
Khâu vết thương và hướng dẫn chăm sóc sau nhổ.
Nhổ răng khôn mọc nghiêng có đau không?
Với công nghệ gây tê hiện đại và kỹ thuật tiên tiến, quá trình nhổ răng khôn tại Nha khoa Hina hầu như không gây đau. Sau nhổ, bạn có thể cảm thấy hơi ê trong 1 – 2 ngày nhưng sẽ nhanh chóng hồi phục nếu chăm sóc đúng cách.
Lưu ý sau khi nhổ răng khôn mọc nghiêng
-
Cắn gạc cầm máu trong 30 phút đầu.
-
Không súc miệng mạnh hoặc khạc nhổ liên tục trong 24 giờ đầu.
-
Ăn thức ăn mềm, tránh đồ nóng, cay.
-
Chườm lạnh bên ngoài để giảm sưng.
-
Uống thuốc theo chỉ định của bác sĩ.
-
Tái khám theo lịch hẹn để theo dõi quá trình lành thương.
Chi phí nhổ răng khôn mọc nghiêng
Chi phí nhổ răng khôn phụ thuộc vào mức độ khó và phương pháp thực hiện. Tại Nha khoa Hina, chúng tôi cam kết chi phí minh bạch, hợp lý, đi kèm chất lượng dịch vụ hàng đầu.
Vì sao nên nhổ răng khôn tại Nha khoa Hina?
-
Đội ngũ bác sĩ giàu kinh nghiệm.
-
Trang thiết bị hiện đại, công nghệ nhổ răng khôn an toàn.
-
Quy trình vô trùng, an toàn tuyệt đối.
-
Chăm sóc hậu phẫu chu đáo, tận tâm.
Răng khôn mọc nghiêng tiềm ẩn nhiều nguy cơ cho sức khỏe răng miệng. Việc nhổ bỏ răng khôn mọc lệch kịp thời khi có chỉ định sẽ giúp bảo vệ răng số 7, tránh biến chứng nguy hiểm. Nếu bạn đang gặp tình trạng này, hãy đến Nha khoa Hina để được thăm khám và điều trị kịp thời.









