Trong nha khoa, những vấn đề liên quan đến răng mọc ngầm luôn được đánh giá là phức tạp và tiềm ẩn nhiều rủi ro. Nếu không phát hiện sớm và xử lý kịp thời, răng mọc ngầm có thể gây ra hàng loạt biến chứng, thậm chí dẫn đến nguy cơ hỏng răng vĩnh viễn. Bài viết này sẽ giúp bạn hiểu rõ hơn về tình trạng này và tầm quan trọng của việc điều trị kịp thời.
Răng mọc ngầm là gì?
Răng mọc ngầm là tình trạng răng không thể mọc trồi lên khỏi nướu hoặc mọc lệch, mọc ngang, nằm sâu trong xương hàm. Tình trạng này thường xảy ra ở răng khôn (răng số 8), nhưng cũng có thể xuất hiện ở răng nanh hoặc răng hàm nhỏ.
Khi răng không có đủ chỗ để mọc hoặc mọc sai hướng, nó sẽ bị “kẹt” lại trong nướu và xương, gây ra nhiều biến chứng nguy hiểm.

Nguyên nhân gây răng mọc ngầm
Có nhiều nguyên nhân dẫn đến tình trạng răng mọc ngầm, phổ biến nhất gồm:
-
Hàm răng chen chúc, thiếu chỗ: xương hàm nhỏ nhưng số lượng răng nhiều khiến răng khôn hoặc răng khác không có đủ không gian để mọc đúng vị trí.
-
Di truyền: cấu trúc hàm, kích thước răng có thể di truyền từ bố mẹ sang con, dẫn đến răng mọc lệch hoặc mọc ngầm.
-
Tai nạn hoặc bệnh lý: chấn thương vùng hàm mặt hoặc các bệnh lý răng miệng cũng có thể ảnh hưởng đến quá trình mọc răng.
Nguy cơ hỏng răng vĩnh viễn do răng mọc ngầm
Nhiều người chủ quan nghĩ rằng răng mọc ngầm chỉ gây đau nhức tạm thời. Tuy nhiên, thực tế, tình trạng này có thể để lại hậu quả lâu dài, thậm chí làm hỏng răng vĩnh viễn.
1. Gây sâu răng và viêm nhiễm
Răng mọc ngầm thường nằm sát răng bên cạnh, tạo ra khe kẽ khó vệ sinh. Thức ăn và vi khuẩn dễ tích tụ, gây sâu răng, viêm nướu và viêm nha chu. Nếu không điều trị, tình trạng này có thể lan sang răng bên cạnh, dẫn đến hỏng răng vĩnh viễn.
2. Tiêu xương hàm
Khi răng mọc ngầm tạo áp lực lên xương và răng lân cận, lâu dần có thể làm tiêu xương, gây lỏng răng và mất răng. Đây là biến chứng nguy hiểm, ảnh hưởng trực tiếp đến cấu trúc hàm mặt.
3. Gây lệch khớp cắn
Áp lực từ răng mọc ngầm có thể làm dịch chuyển các răng khác, gây chen chúc, xô lệch, ảnh hưởng đến thẩm mỹ và khớp cắn. Nếu không điều chỉnh kịp thời, hậu quả này có thể khiến người bệnh phải niềng răng hoặc can thiệp chỉnh nha phức tạp.
4. Nguy cơ u nang và nhiễm trùng
Một số trường hợp răng mọc ngầm hình thành nang quanh thân răng. Nang này có thể phát triển lớn, gây tổn thương xương hàm, thậm chí tạo điều kiện cho khối u phát triển. Khi nhiễm trùng lan rộng, người bệnh có nguy cơ mất răng hàng loạt.
Triệu chứng nhận biết răng mọc ngầm
Người bị răng mọc ngầm thường gặp phải một số dấu hiệu điển hình sau:
-
Đau nhức, sưng tấy vùng lợi nơi răng mọc.
-
Sốt nhẹ, khó há miệng, thậm chí nuốt cũng đau.
-
Hơi thở có mùi hôi do vi khuẩn tích tụ.
-
Sưng mặt hoặc nổi hạch ở cổ khi tình trạng viêm lan rộng.
Khi xuất hiện những triệu chứng này, bạn cần đến ngay cơ sở nha khoa để thăm khám và có hướng xử lý phù hợp.
Phương pháp chẩn đoán răng mọc ngầm
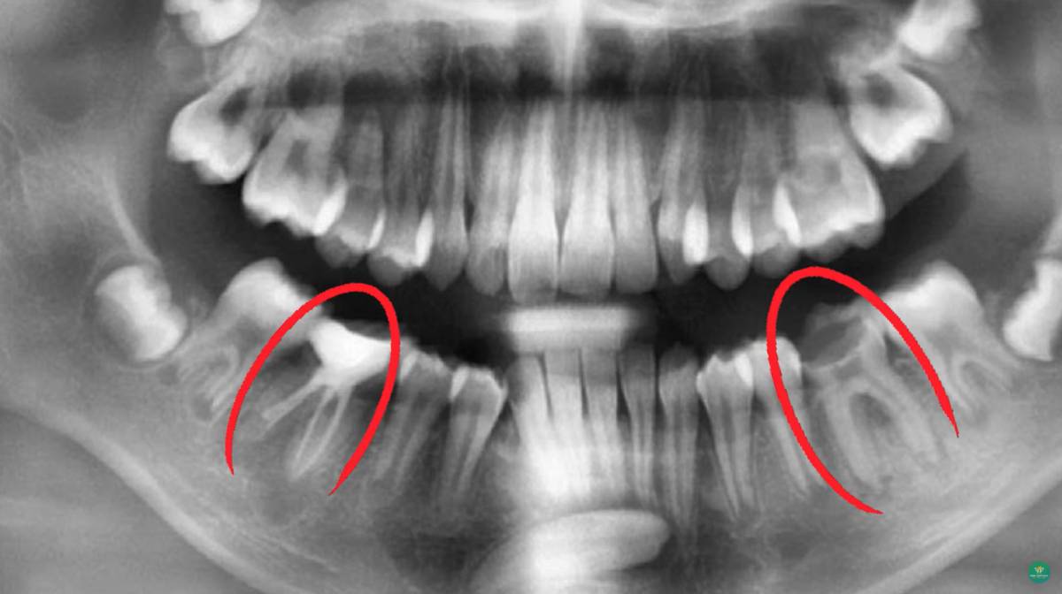
Để xác định chính xác tình trạng răng mọc ngầm, bác sĩ sẽ chỉ định chụp X-quang toàn hàm hoặc CT Cone Beam. Nhờ đó, có thể đánh giá được vị trí, chiều hướng mọc, mức độ ảnh hưởng đến răng và xương xung quanh.
Việc chẩn đoán sớm giúp lên kế hoạch điều trị kịp thời, giảm nguy cơ biến chứng và bảo vệ răng vĩnh viễn.
Giải pháp điều trị răng mọc ngầm
Tùy thuộc vào mức độ và vị trí răng mọc ngầm, bác sĩ sẽ đưa ra phương án phù hợp:
1. Theo dõi định kỳ
Trong trường hợp răng mọc ngầm chưa gây đau hoặc biến chứng, bác sĩ có thể theo dõi định kỳ bằng chụp phim để kiểm soát tình trạng.
2. Nhổ răng mọc ngầm
Đây là phương pháp phổ biến và triệt để nhất. Với công nghệ nhổ răng siêu âm hiện đại, quá trình nhổ răng trở nên nhẹ nhàng, ít đau và hồi phục nhanh. Nhổ răng mọc ngầm không chỉ loại bỏ nguồn gây bệnh mà còn phòng ngừa biến chứng về sau.
3. Điều trị hỗ trợ
Sau khi nhổ răng, người bệnh có thể cần dùng thuốc kháng viêm, giảm đau hoặc tiến hành phục hình răng nếu có tổn thương ở răng bên cạnh.
Cách phòng tránh nguy cơ hỏng răng do răng mọc ngầm
Để hạn chế tối đa những biến chứng của răng mọc ngầm, bạn nên:
-
Thăm khám nha khoa định kỳ 6 tháng/lần để phát hiện sớm tình trạng bất thường.
-
Chụp X-quang răng khôn từ độ tuổi 16 – 25 để theo dõi hướng mọc.
-
Vệ sinh răng miệng kỹ lưỡng bằng cách chải răng đúng cách, kết hợp chỉ nha khoa và nước súc miệng.
-
Điều trị kịp thời khi có dấu hiệu đau nhức hoặc viêm nướu quanh răng khôn.
Răng mọc ngầm không chỉ gây ra những cơn đau khó chịu mà còn tiềm ẩn nhiều biến chứng nguy hiểm, từ sâu răng, viêm nướu đến nguy cơ hỏng răng vĩnh viễn. Vì vậy, việc phát hiện sớm, chẩn đoán chính xác và điều trị kịp thời là vô cùng quan trọng.
Hãy chú ý chăm sóc răng miệng hàng ngày và đến nha khoa thăm khám định kỳ để bảo vệ sức khỏe răng miệng trọn đời.









